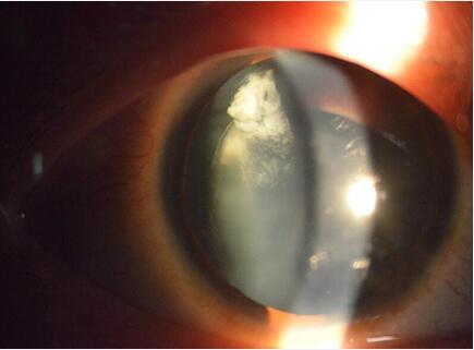
34岁的许先生由于二十年前视力减退开始戴镜,前不久来厦门眼科中心打算做近视手术,经视光专科黎新主任检查后发现许先生除了双眼屈光不正外,右眼还伴有角膜云翳。

在黎新主任的详细询问下,许先生才想起十多年前右眼曾不慎溅入铁屑还被人用拳头击伤过。黎新主任了解情况后,便请眼外伤专科的专家一起会诊并进行“加行眼眶CT”和“UBM检查”,检查后诊断许先生为右眼外伤性白内障,建议其进行“晶体植入手术”。

许先生和家人商量后,于前几天进行了“右眼白内障吸除和晶体探查联合人工晶体植入术”。许先生手术非常顺利,术中也未发现晶体异物,术后右眼切口愈合情况良好,人工晶体位正常,眼睛 得也不错。
黎新主任表示,许先生虽然没做成近视手术,但是意外发现外伤性白内障这个“差点被遗忘的眼病”,也算非常幸运,希望大家平常注意保护好眼睛,如果觉得眼睛有异样,应尽早到 的眼科医院进行检查。
外伤性白内障是眼科比较常见的眼病,眼球受伤后可迅速发生外伤性白内障,也可能是数年之后才发生。当眼外伤发生时,大家一定要引起重视,及时到医院检查,以免视力受损甚至造成失明的永久性伤害。
据统计,在眼球穿孔伤中,外伤性白内障的发生率高达53%以上,致盲率达47.5%。专家表示,眼球穿通伤会导致晶状体囊膜破裂,使房水进入晶状体内,引起纤维水肿、变性和混浊,从而引发外伤性白内障。如不及时手术医治白内障,极有可能致盲。
成立眼外伤登记中心 开展24小时急诊服务

日前,厦门眼科中心正式挂 “全国眼外伤登记中心福建中心”,主要用来收集眼外伤诊疗数据,借此优化眼外伤预防体系和救治,提*眼外伤救治水平,让眼外伤的诊断与医治达到 化标准,大限度降低致残率。
为了 和方便许多眼科病人尤其眼外伤病人,能够得到更有针对性和 的病情处理和及时医治,这么多年来,厦门眼科中心眼外伤专科始终坚持开展全年24小时门诊就诊及急诊手术服务,为眼外伤急诊患者开通了绿色通道。
温馨提醒:正因为眼外伤可能导致各种严重后果,我们要更加重视预防和保护,受伤后眼睛若出现明显的视力改变、眼前暗影、黑影飘动、双眼视物不对称等情况,应及时就医、充分排查眼部的问题,以免发生进一步的病变。






















